Bulging Discs Can Heal Naturally
Chiropractic care can help expedite the healing
After more than 26 years of helping people to heal naturally, I’ve seen hundreds of people recover from bulging or “slipped” discs in the spine. Many of these people were told they would require surgery, with several even being told that avoiding an operation could risk paralysis. While I’ve never seen anyone become paralyzed after choosing not to have an operation for a bulging disc, I have seen many people develop severe complications after an operation.
Fortunately, bulging and even disc fragments that become loose can indeed heal naturally. I’ve linked 20 case studies and reviews below, which I was able to find after searching for less than an hour. In fact, one study alone from 2010 discussed 37 cases of spontaneous regression of disc herniations. When a health problem heals naturally, the medical literature prefers to say it healed “spontaneously.” However, it’s important to note that natural or “spontaneous” healing does require some effort and a considerable amount of patience, perseverance, and lifestyle improvements.
According to a large review from 2015:
“Spontaneous regression of herniated disc tissue can occur, and can completely resolve after conservative treatment. Patients with disc extrusion and sequestration had a significantly higher possibility of having spontaneous regression than did those with bulging or protruding discs. Disc sequestration had a significantly higher rate of complete regression than did disc extrusion.”
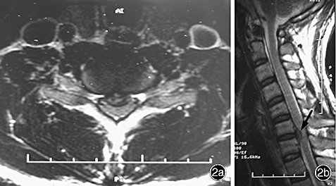
The images below are from just three of the many published case studies showing severe bulging discs in the neck and lower back that the nervous system was able to heal naturally:
Case Study 1:


Case Study 2:


Case Study 3:


In a study published in 2013, it was also found that regardless of the severity of the problem, those that went to a chiropractor rather than medical treatment were 28 times less likely to have a back operation, as “approximately 42.7% of workers who first saw a surgeon had surgery, in contrast to only 1.5% of those who saw a chiropractor.”
From my clinical experience and the scientific literature, it’s quite clear that severe bulging discs can indeed heal naturally, and just another example of the body’s innate healing capacity. It’s also very important to note that many studies have verified that bulging or protruded discs are most often asymptomatic and present in 24-30% of young adults and up to 84% of the elderly, but cause no pain. This clearly shows that the neurological dysfunction which contributes to the pain, is rarely focused to the site of the bulging disc. By improving the function of the whole spine and nervous system, we can help improve the healing time and aid in preventing future problems, while also improving overall health and wellness.
by Dr SJ NANA, DrNana.co.za
References:
The probability of spontaneous regression of lumbar herniated disc: a systematic review
Spontaneous regression of herniated cervical disc fragments and its clinical significance
Spontaneous Regression of Herniated Lumbar Disc with New Disc Protrusion in the Adjacent Level
Spontaneous regression of sequestrated lumbar disc herniations: Literature review
Spontaneous resorption of sequestrated intervertebral disc herniation
Spontaneous regression of lumbar disc herniations: A retrospective analysis of 5 patients
Spontaneous regression of posterior epidural migrated lumbar disc fragments: case series
Spontaneous and rapid resolution of a massive lumbar disc herniation
Nonsurgical and surgical management of lumbar spinal stenosis
Spontaneous regression of a herniated cervical disc in a patient with myelopathy
MRI-documented regression of a herniated cervical nucleus pulposus: A case report
Observations on spontaneous recovery from intervertebral disc herniation
Spontaneous regression of a large lumbar disc herniation:: Report of an illustrative case
Spontaneous Resorption of Herniated Lumbar Disk: Observational Retrospective Study in 9 Patients
Spontaneous regression from intervertebral disc herniation. Propos of a series of 37 cases
Spontaneous Resorption of Sequestrated Intervertebral Disc Herniation (6 cases)
Systematic Literature Review of Imaging Features of Spinal Degeneration in Asymptomatic Populations
Please see my previous articles relating to this topic:

